C-Field+®天工智能平台
天工开物 智见苍穹
河图至臻 探微致远
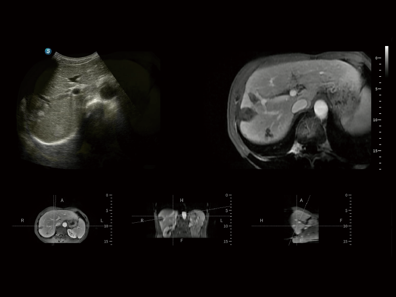
作为开立医疗全新打造的超高端旗舰超声产品,从探头抬起唤醒开启扫查到多维探头发射接收,通过先进的场成像发射、自适应聚合重建等技术,基于RF Data原始射频数据在图像生成、高端功能等方面实现突破,提供多科室综合临床解决方案。
天工开物 智见苍穹
独有场成像发射技术
自适应聚合重建技术
独家XPUs混合硬件架构
构建多维智能生态
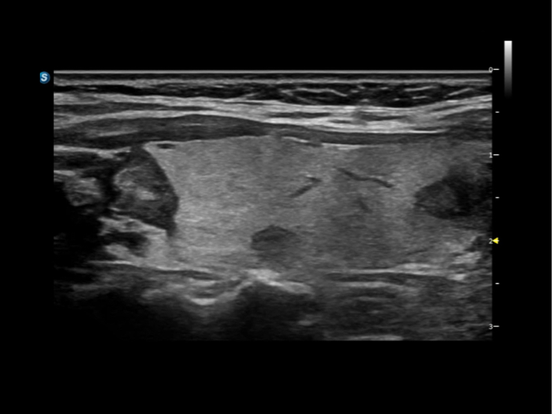
丰富的血流动力学检测技术,可在不同医疗场景中高效捕捉血流信号,助力临床诊疗。
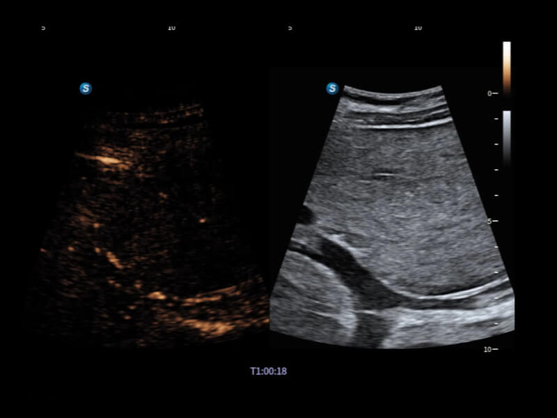
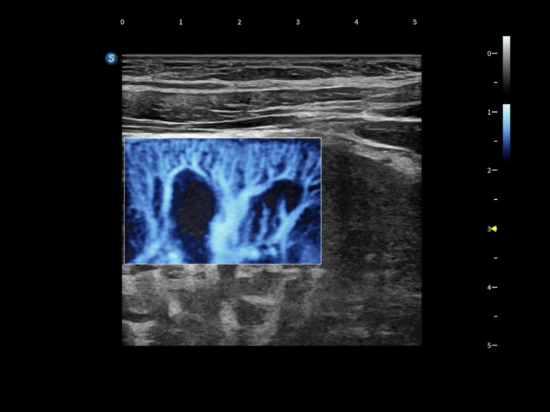
在传统血流的基础上优化扫查和算法策略,能够更好的抑制组织信息,提炼红细胞运动信息,得到更高帧频,高灵敏度和分辨率的血流信号,还原更真实的血流动力学。
通过光照模型,使二维血流显示出立体的效果,增加血流的敏感性、成束性,减少外溢。可以和其他不同的血流技术联合使用,融合不同技术的优势。轻松应对微小血管,增强血流的立体效果,提升视觉敏感性。
通过创新的Matrix E自适应滤波算法,能有效滤除软组织和噪声信号,最大限度保留超低速微细血流的信号;结合超长时间域算法,极大提升细微血流的敏感性和空间分辨率,更真实的反应组织、包块的血流灌注情况。
S80 提供多样化超声成像技术,可满足不同科室的需求,在助力扫查诊断和介入治疗中发挥着重要作用。
通过工作流协议、远程访问、自动探头激活和人体工程学优化设计等功能,旨在提高临床工作效率。
探头抬起唤醒
工作流协议
智联Show
远程同步化服务
内置超声教学软件
专属页面设置
高效扫查
智联交互
教学助手
扫查助手
探头内置感知传感器,支持拿起探头即唤醒,快速开启扫查。同时支持多档灵敏度可调,用户可随心配置,调节唤醒灵敏度
根据预设流程可自动添加注释、体标及自动激活测量等,同时结合教学系统,帮助操作者顺利完成检查工作
WIFI无线数据传输功能,实现扫描二维码将临床图像从超声设备实时传输到移动智能终端同步共享
支持申请、预约、会诊指导等会诊流程管理,可实现远程终端音视频互联,远程控制,支持多端互联,同步视频具备高清、高帧率流畅画面,帮助远地医生和专家交流诊断结果
提供解剖示意图、标准超声图像、扫查手法图和操作者实时检查图像,指导操作者进行标准切面的正确扫查。
与诊断项关联的测量、体标、注释项页面设置,支持专属页面设置的导入、导出,有利于医生更加便利地设置常用项
易控随心
得心应手
细致入微
一键智启
深圳开立生物医疗科技股份有限公司(股票代码:300633)是一家全球领先的科技公司,致力于医疗设备的自主研发和制造,涵盖超声医学影像、内镜诊疗、微创外科和心血管介入等领域,为全世界170多个国家和地区的医疗机构提供专业专科化的整体解决方案。开立医疗志在成为守护全球健康的科技力量,为生命创造更多可能。

微信公众号
0755-26722890
400-678-8019
版权所有 @深圳开立生物医疗科技股份有限公司 粤ICP备20054866号 访问统计
互联网药品信息服务资格证书[(粤)-非经营性-2023-0479]