C-Field+®天工智能平台
天工开物 智见苍穹
便携式彩色多普勒超声诊断系统
作为开立医疗全新打造的高端床旁笔记本超声,E11不仅具备卓越的图像质量,同时搭载全面高效的自动测量工具,助力医生实现更快速、更精准的床旁诊断。
天工开物 智见苍穹
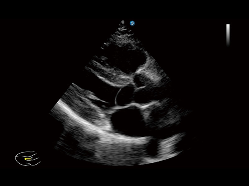
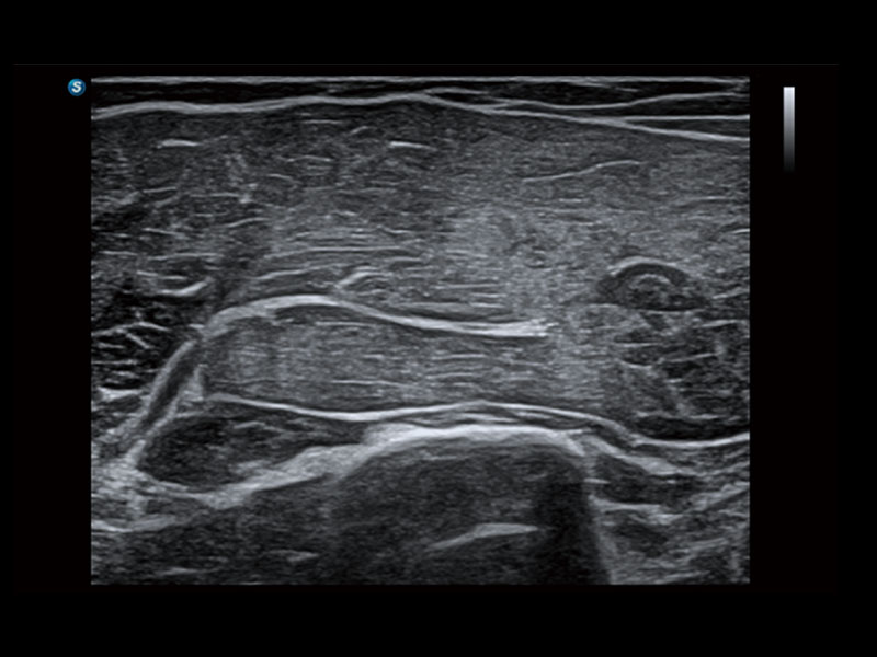
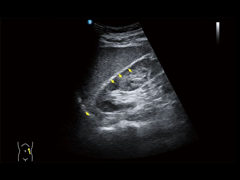
信噪比提升
分辨率&均一性提升
帧频提升
智能图像优化
智能信号处理
智能人机交互
E11搭载了丰富的自动化测量工具,以及专为POC科室定制的高级功能;同时配备了为急诊医师量身打造的 SonoFast急重症超声流程,以帮助临床医生最大限度的提升工作效率
封闭式鼓膜按键
无缝式触控面板
屏幕清洁模式
磁吸电源接口让您轻松启动电源,同时保护线缆免受长期磨损。
电池包组合支持8小时超长续航,让您畅享全天扫查。
扩展4探头接口,避免频繁插拔探头,减少设备损耗
从冻结状态下拿起探头并挥动,轻松切换探头与预设诊断项。
通过简单的语音指令远程操控关键功能, 助力更高效、更智能地开展工作。
指导操作者进行标准切面的正确扫查,涵盖丰富应用场景,为新晋医生提供实用的参考指导。
扫码快速获取检查数据,便于对患者检查图像及报告进行追溯及随访。
将测量、体标和注释等关键内容整合到一个页面中。精简界面,诊断更有针对性。
可助力简化工作流程,同时提升操作标准化程度,并减少按键次数,缩短检查时间。
深圳开立生物医疗科技股份有限公司(股票代码:300633)是一家全球领先的科技公司,致力于医疗设备的自主研发和制造,涵盖超声医学影像、内镜诊疗、微创外科和心血管介入等领域,为全世界170多个国家和地区的医疗机构提供专业专科化的整体解决方案。开立医疗志在成为守护全球健康的科技力量,为生命创造更多可能。

微信公众号
0755-26722890
400-678-8019
版权所有 @深圳开立生物医疗科技股份有限公司 粤ICP备20054866号 访问统计
互联网药品信息服务资格证书[(粤)-非经营性-2023-0479]